Keramik

Keramik, das Königsmaterial in der Zahntechnik. Mit nichts vergleichbar, in Ästhetik, Form und Farbe. Hier finden Sie alle Informationen zu den Möglichkeiten, welche sich mit einem solchen Material verwirklichen lassen. Unser Ziel ist es, die Natürlichkeit der Natur zu kopieren, Dabei helfen uns digitale Planungsmöglichkeiten und analoge Perfektion der Handarbeit.

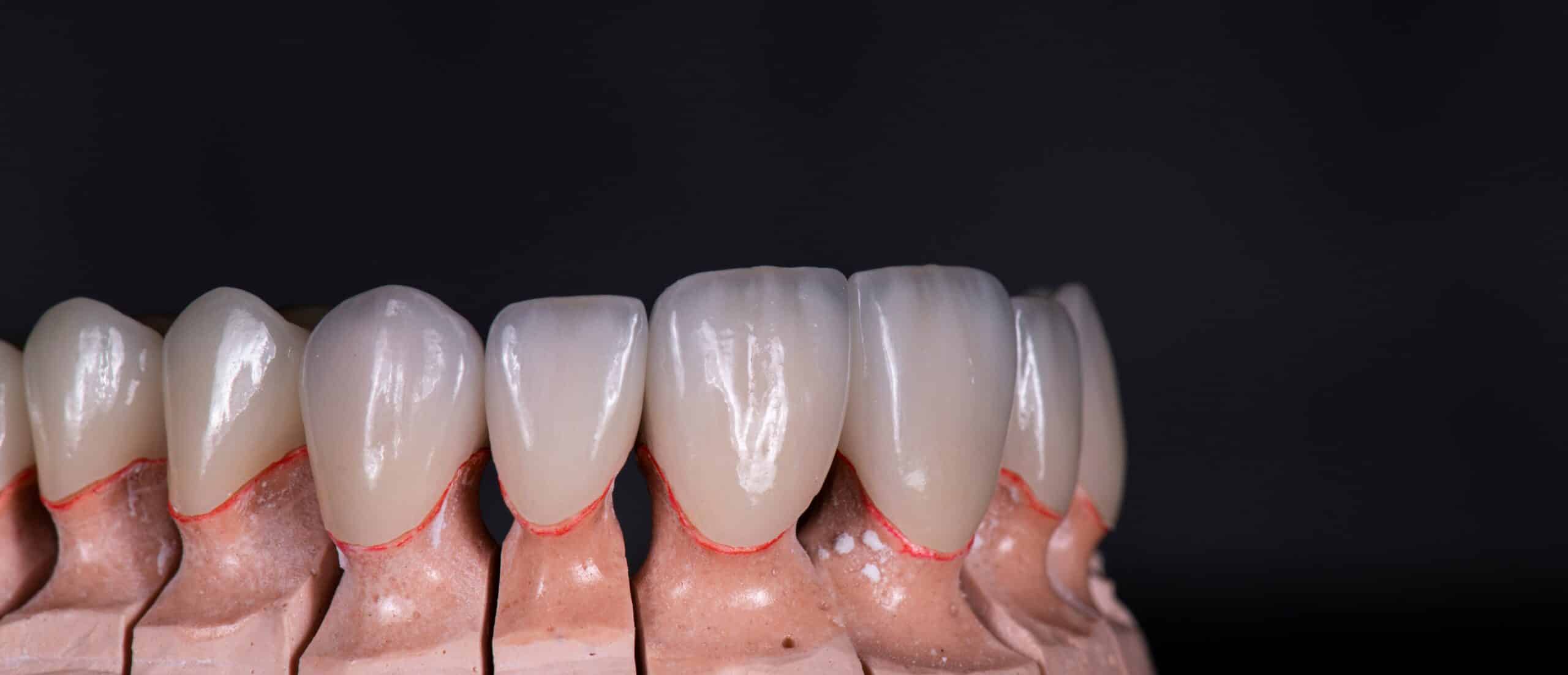
Zirkonoxid Multilayer

Wir verwenden die hochwertigsten Zirkone auf dem Markt. In der Materialfamilie des Multilayer Zirkon ist KATANA TM die Innovation im Bereich der Vollkeramik. Durch eine spezielle Microlayering-Technik erfüllt diese Keramik höchste ästhetische Ansprüche.

Zirkonoxid Multilayer bietet die Möglichkeit, extrem stabile Konstruktionen aus transluzentem Zirkonmaterial zu fertigen. Die Eigenschaften dieser Technik bieten uns einen erhöhten Indikationsspielraum bei sehr geringen Platzverhältnissen und Patienten mit einem stark ausgeprägtem Bruxismus (Zähne knirschen). Durch unsere Fertigungstechnik wird die Oberfläche so stark verdichtet (poliert), sodass kein Abrieb am antagonisten Zahn entsteht. Die spezielle Einfärbung erlaubt uns ein sehr natürliches Erscheinungsbild.

Unser Labor ist auf dem technisch neusten Stand, mit digitaler und virtueller Planung am PC. Die labor-interne Fertigung, durch unser CAD-CAM System Imes Icore, bietet uns maximale Flexibilität. Durch die InHouse Produktion haben wir immer volle Kontolle über die Fertigung und das Material und können so unsere Ansprüche stetig verbessern.

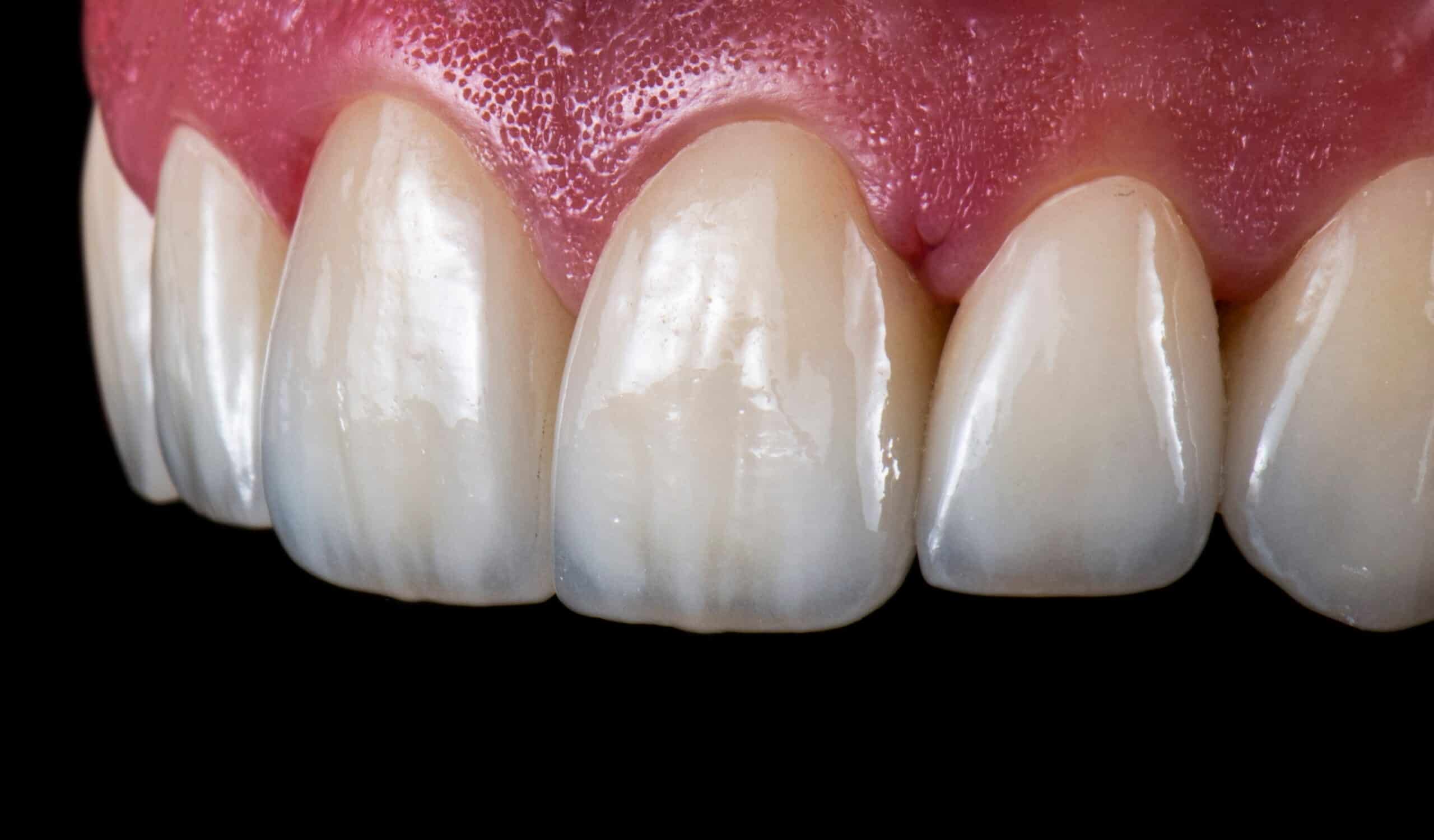
Ästhetik Veneers (e.max)

Hohe Ästhetik durch Cut-back Technik und einer individuellen Beschichtung mit Keramik.
Unsere Veneers sind hauchdünne und extrem feste Keramikschalen, die über einen nur leicht beschliffenen Zahn gesetzt werden. Die Haftung am Zahn erfolgt über einen lichthärtenden, transparenten Dental-Dualklebstoff, der sich durch glasharte Eigenschaften auszeichnet. Wir geben Ihnen Tipps zur Befestigung Ihrer Restauration.

Presskeramik

Sie eignet sich für die effiziente Herstellung vollanatomischer Restau rationen und steht für ein vollumfängliches Anwendungsgebiet. Darüber hinaus besitzt sie eine sehr hohe Transluzenz. Wir bieten Presstechnik und CAD/CAM Verfahren zur Herstellung der Einzel stücke an. Damit können wir gezielt auf jeden einzelnen Patientenfall und dessen Anforderungen eingehen. Das natürliche Erscheinungsbild spricht für sich. Wir bereiten Ihnen die Klebeflächen der Teilchen nach Ihren Wünschen vor.

IPS e.max

e.max – ein System für ein breites Indikationsspektrum. IPS e.max ist ein modernes und innovatives Vollkeramiksystem. Es umfasst höchste ästhetische Ansprüche in Verbindung mit sehr robusten Materialeigenschaften (Zahnschmelz). Herstellungsprozess durch CAD/CAM Technologie und Pressverfahren.

Wir verwenden bei unseren E.max Frontzahn Arbeiten, eine individuelle Schichtkeramik, um noch bessere Ergebnisse zu erzielen. So heben wir uns qualitativ ab.

Sie haben Fragen? Wir sind persönlich für Sie da!

Wir sehen Zahnärzte als mehr als nur unsere Kunden. Wir sehen sie als Partner mit denen wir ein gemeinsames Ziel verfolgen. Lassen Sie sich kostenfrei von uns beraten.

Unsere Experten stehen Ihnen bei allen Fragen zur Seite!