Ein 76-jähriger Patient stellte sich in der ambulanten Sprechstunde mit dem Wunsch nach kaufunktioneller Neuversorgung des Ober- und Unterkiefers vor. Der Patient hatte schon viel von Zahnimplantaten gehört, ihm missfiel jedoch der Gedanke, Zähne aus Titan in den Kiefer zu bekommen. Er hatte von keramischen Zahnimplantaten gehört und wünschte eine genaue Aufklärung bezüglich dieses Themas.
Nach entsprechender klinischer und röntgenologischer Diagnostik (Abb. 1a, b) wurden vier zweiteilige Keramikimplantate (Pure Ceramic, Straumann Group) für die Insertion im Oberkiefer Nach komplikationsloser dreimonatiger Osseointegration geplant (Abb. 2). Der Entscheidung bei der Auswahl dieser Medizinprodukte lag auch der Umstand zugrunde, dass die Implantate für systemimmanente Scanbodies kompatibel sind undüber sollte im digitalen Workflow hergestellt werden. Hierfür wurden zunächst die zum Implantatsystem passenden Scanbodies die sich schon bei der einteiligen Variante des Keramikimplantates (Monotype Pure Ceramic, Straumann Group) seitJahren auf dem Intraoralscanner (iTero, Align) digitalisiert (Abb. 5a).






1. Abutments, Primärkappen und Implantatmodell
Nach dem Import der STL-Daten in die CAD-Software (3Shape, Implantstudio) wurden die Abutments konstruiert. Da die Abutments zugleich die Funktion der Primärkronen einnehmen, ist auf ein entsprechendes Design geachtet worden. Aus Zirkonoxid gefräst sowie finalisiert wurden die Kronen im Partnerlabor CS-Zahntechnik. Danach erfolgte das Verkleben mit der Titanbasis, ein sensibler Vorgang. Insbesondere das Beseitigen der Kleberrückstände im basalen Bereich sollte unter dem Mikroskop erfolgen. Die Anschlussgeometrie des Abutments bleibt unangetastet. Weiterer Schlüssel für den Erfolg einer implantatprothetischen Restauration ist ein exaktes Modell und somit die präzise Umsetzung der digitalen Daten in ein physisches Modell. Das Modell wurde im Fertigungszentrum (iTero, Align) gefräst. Die CNC-gefertigten Implantatmodelle sind hochpräzise und haben sich im digitalen implantatprothetischen Workflow der Autoren zu einem festen Bestandteil etabliert. Zum Einsatz kommen speziell entwickelte Modellanaloge, die nachträglich in die hochpräzise Bohrung eingebracht werden.








2. Sekundär- und Tertiärstruktur
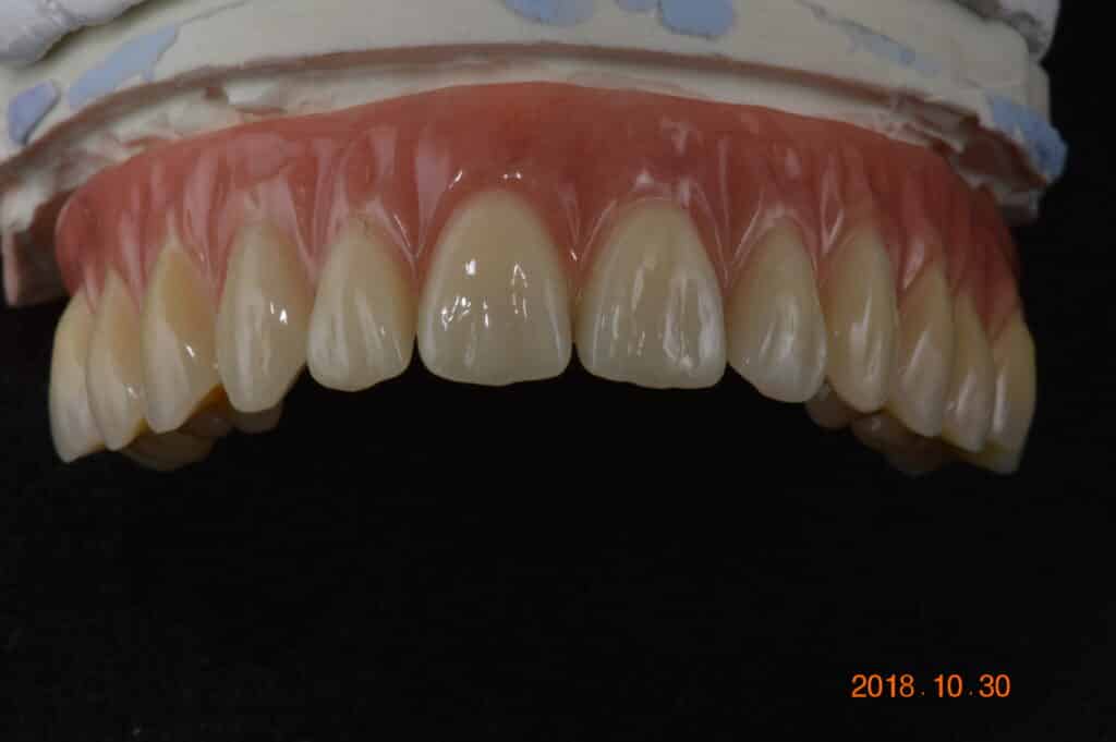
Voraussetzung für die dauerhaft gute Funktion von Doppelkronen ist die exzellente Passung der beiden „Partner“ (Zirkonoxid-Kappe und Galvano-Kappe) (Abb. 5b). Die hochglatten Flächen der Zirkonoxid-Kappen bildeten die Basis für den Galvanisierungsprozess. Im digitalen Workflow bleibend, wurde das Tertiärgerüst im Laser-Melting-Verfahren hergestellt und intraoral die Galvano-Kappen im Gerüst verklebt. Die Passivierung im Mund gilt als Voraussetzung für die langzeitstabile Funktion der teleskopierenden Brücke. Nach erneuter Bissnahme und Kieferrelationsbestimmung sowie einer Ästhetikeinprobe konnte die Restauration fertiggestellt und in der Praxis eingegliedert werden (Abb. 6-12). Großer Vorteil des beschriebenen digitalgestützten Vorgehens: Der Patient musste zu keiner Zeit mit einer Silikonabformung „belastet“ werden. Bis auf die ästhetisch-funktionelle Umsetzung konnte komplett im digitalen Workflow gearbeitet werden.
Zusammenfassung
Der hier gezeigte Fall repräsentiert den engen Dialog zwischen Implantologen und Zahntechniker. Es werden Möglichkeiten aufgezeigt, den digitalen Workflow in die moderne oralchirurgische Praxis einfließen zu lassen. Elektronische Abformverfahren im zahnlosen Kiefer sind komplex, aber nicht unmöglich, müssen sich jedoch im stetigen Wandel fortschreitender Verbesserungen der Scantechnologie noch weiter bewähren. Ausgereifte systemimmanente Komponenten der Implantatsysteme wie Scanbodies und deren im Hintergrund bereitgestellte Infrastruktur zur überschaubaren und hilfreichen Durchführung des digitalen Workflows sind wünschenswert. Nur so wird sich der digitale Fortschritt als alltagstaugliche Variante neben der alteingesessenen analogen in das Praxisgeschehen implementieren lassen.