Patientindividuelle Ästhetik mithilfe künstlicher Intelligenz (KI) visualisieren

Inhalte

Für eine sichere prothetische Rehabili-tation, die funktionell und ästhetisch sowohl Patientinnen und Patienten als auch ein interdisziplinär zusammenarbeitendes Team überzeugt, ist eine präzise Behandlungsplanung von zentraler Bedeutung. Denn das restaurative Ergebnis soll sowohl die Wünsche der Patienten als auch die klinischen Gegebenheiten berücksichtigen und vorhersagbar sein. Es haben sich Arbeitsabläufe be-währt, die die Kommunikation zwischen Praxis und Dentallabor erleichtern, zu einer besser abgestimmten Teamarbeit führen und Patienten frühzeitig in die Behandlungsplanung mit einbeziehen‘. Schließlich sind es die Patienten, die mit ihrer neuen Versorgung glücklich sein sollen.

Vor diesem Hintergrund können digitale Tools, wie die KI-(künstliche Intel-ligenz) gestützte Design- und Kollabora-tions-Plattform Smilecloud (Fa. Strau-mann, Freiburg), die beteiligten Fachleute unterstützen*, indem sie Vorabvi-sualisierungen verschiedener klinischer Szenarien ermöglichen und eine effiziente Zusammenarbeit im Team erleichtern?

Darüber hinaus gewinnen die Patienten mit der Ansicht des individuellen Lächelns am Bildschirm einen fotorea-listischen Eindruck des gewünschten Er-gebnisses. Das motiviert und erleichtert Entscheidungen, steigert die Bereitschaft zur Therapie und erhöht insgesamt die Patientenakzeptanz für den Behand-lungsablauf.

Das Dentallabor Sandmair nutzt seit Anfang 2023 die webbasierte Software Smilecloud sowohl bei einfachen als auch komplexen Versorgungen. Wie die Kl-gestützte Software die Patienten-kommunikation unterstützt und in der Zusammenarbeit zwischen Praxis und Labor integriert werden kann, zeigt das nachfolgende Fallbeispiel.

Fallbeispiel

Befund, Patientenwunsch, Behandlungskonzept

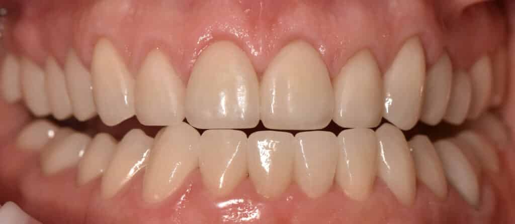
Die 38-jährige Patientin der Praxis Dr. Marius Bancila in München beklagte die unbefriedigende Ästhetik ihres Lächelns aufgrund der über die Jahre kurz gewor-denen, stark abradierten Zähne (Abb. 1).

Die Knirscherschiene, die sie zum Schutz

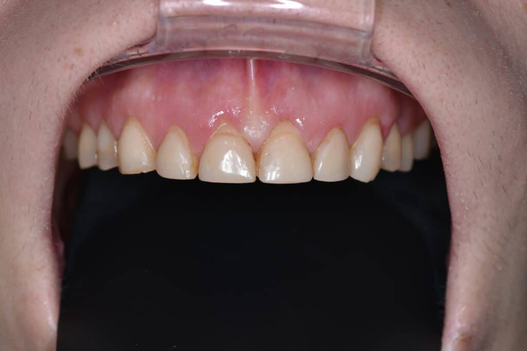
der Zahnsubstanz erhalten hatte, hatte sie kaum getragen. In der aktuellen Situation hatte die Patientin keine Schmerzen, war aber mit dem Erscheinungsbild ihres Lächelns sehr unzufrieden. Ihre allgemeine Anamnese war unauffällig. Der klinische Befund bestätigte, dass die Zähne im Ober- und Unterkiefer, besonders die Frontzähne des Oberkiefers, von starken Abrasionen betroffen waren. Darüber hinaus ergab der klinische Befund bei inkomplettem Zahndurchbruch und ske-lettaler Klasse Il zusätzlich Verfärbungen der Zahnsubstanz und Gingiva-Rezessio-nen (Abb. 2 und 3).

Bei einer möglichen Behandlung stand für die Patientin eindeutig die Ästhetik im Vordergrund und sie wünschte eine optische Verbesserung. Allerdings scheute sie den Behandlungsbeginn, weil sie sich das Endergebnis nicht vorstellen konnte. Dr. Bancila besprach mit der Patientin die Option, ihr zunächst am Bildschirm eine Simulation des Be-handlungsergebnisses zu zeigen, um ihr die Entscheidungsfindung zu er-leichtern. Darauf ließ sich die Patientin bereitwillig ein. Eine entsprechende Vorab-Visualisierung übernahm das Dentallabor des Autors mit der cloud-basierten Plattform Smilecloud. Für die Umsetzung der Visualisierung wurden zunächst die Ausgangsdaten – die klinischen Aufnahmen der Patientin von außen sowie die STL-Scandateien des Ober- und Unterkiefers – hochgeladen und es wurde eine digitale Patientenakte angelegt.

KI, Fallbibliothek, Datenschutz

Nachdem in der Smilecloud ein Patien-tenfall neu angelegt wurde, konnten alle relevanten Dateien, wie Fotos, Scans und Röntgenbilder, hochgeladen werden. Das Team, das sich mit dem Fall beschäftigen sollte, wurde zusammengestellt, indem ein Koordinator die entsprechenden Personen einlud. Wer Zugang zum Fall hat, entscheidet also der Koordina-tor. Die Personen, die zum Team gehö-ren, können dabei in unterschiedlichen Teilen der Welt sein. Sie befinden sich im selben Behandlungsraum (Virtual Treat-ment Room). Informationen oder Anweisungen werden direkt in einen Chat ge-sendet. Das gewährleistet eine schnelle und präzise Kommunikation.

Die Software greift für Vorab-Visua-lisierungen auf eine große biometrische Bibliothek mit natürlichen Zähnen zu, berücksichtigt die spezifische Patien-tenanatomie und die individuellen klinischen Bedürfnisse und macht auf dieser Basis einen Vorschlag für das restaurative Endergebnis. Das Programm erstellt einen automatischen Vorschlag, der angepasst werden kann. Dabei können die Höhe der Papillen und der Zwischenräume definiert und verschiedene De-signvarianten gestaltet werden. Mit Unterstützung der KI-Algorithmen von Smi-lecloud kann dann eine patientenindivi-duelle Ästhetik generiert und in digitale Ober- und Unterkiefermodelle überführt werden. Mit Smilecloud besteht über den Browser oder das mobile Endgerät Zugang zu Werkzeugen, um das Design gegebenenfalls anzupassen.

Für die Datenübertragung wird nach Angaben des Anbieters der TLS-Stan-dard (Transport Layer Security) verwen-det, um eine sichere Datenübertragung zu gewährleisten. Dabei werden die Daten vor der Übertragung verschlüsselt, diese beinhaltet eine Endpunkt-Authen-tifizierung, die sicherstellt, dass die Da ten auch dann geschützt bleiben, wenn die Kommunikation während der Übertragung zwischen dem Nutzer und den Diensten abgefangen wird. Die digitale Plattform, über die Smilecloud zur Verfügung gestellt wird, erhielt im Januar 2024 die Zertifizierung nach ISO 27001, eine der stärksten Cybersecurity-Zertifi-zierungen zur Einhaltung höchster Standards beim Schutz sensibler Daten‘.

Im vorliegenden Patientenfall umfasste der Behandlungsplan eine chirurgische Kronenverlängerung der Zahn-kronen 15 bis 25 und eine anschließende provisorische Versorgung mit Restaurationen aus PMMA für einen Zeitraum von drei Monaten. Die spätere definitive Versorgung der Zähne mit adhäsiv befestigten vollkeramischen Restaurationen sollte neben der ästhetischen Zielsetzung die Zahnsubstanz langfristig schützen.

Visualisierung und Umsetzung

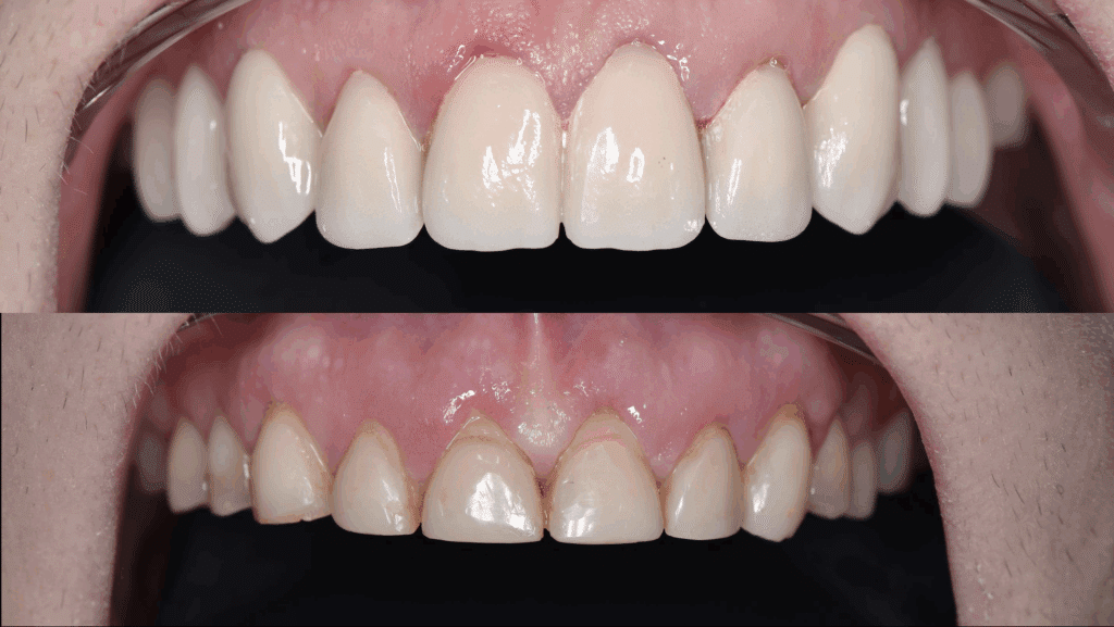
Der am Monitor visualisierte Vorschlag der verlängerten Zahnkronen mit provisorischen Restaurationen wurde mit der Patientin in der Praxis in Anwesenheit des Autors besprochen (Abb. 4 und 5).

Mit dem realen Bild der Patientin und einem biometrischen Smile Design, das ihren Gesichtsproportionen entsprach und die ursprüngliche Zahnkronenlänge be-rücksichtigte, war die Patientin schnell überzeugt.

Zusätzlich erhielt die Patientin einen Link, damit sie das Smile Design auch auf ihrem Smartphone sehen und im Freundes- und Familienkreis besprechen konnte. Auf diese Weise konnten Zahnarzt und Zahntechniker ihr Vertrauen in den Behandlungsablauf stärken und die Simulation konnte zu einem verbesserten Verständnis für die Behandlungsop-tionen beitragen. Die Patientin willigte überzeugt in die Behandlung ein.

Chirurgische Kronenver-längerung und Prothetik

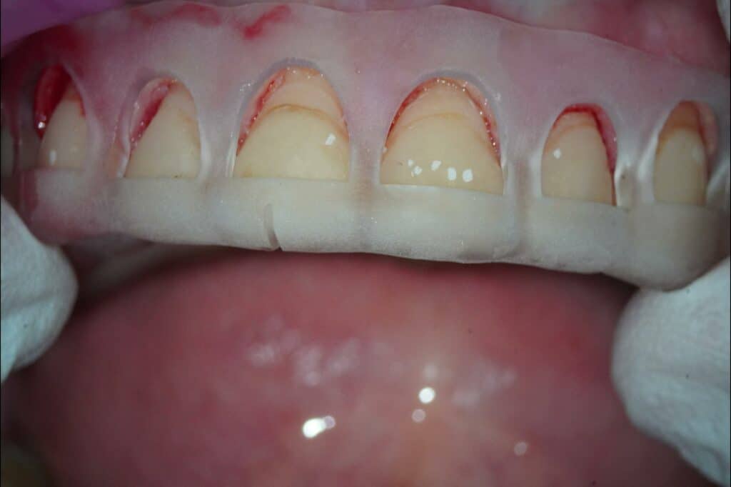
Mit der CAD-Software Exocad wurde die anschließend gedruckte Zahnfleisch-Prä-parationshilfe designt (Abb. 6 und 7). Der Behandler nahm die geführte laserge-stütze Gingivektomie vor (Abb. 8 bis 10).

Anschließend wurden die Zähne 15 bis 25 präpariert und die Präparationen mit einem Intraoralscanner erfasst. Auf der Grundlage der STL-Daten der digitalen Abformung wurden im Dentallabor des Autors die Kronen aus PMMA mit der De-sign-Software 3Shape geplant (Abb. 11 bis 13). Dabei erstellte die Software aus dem 2-D-animierten Bild einen 3-D-Out-put (Abb. 11). Diese STL-Datei wurde dann händisch in die Konstruktionssoft-ware eingesetzt und wie zuvor mit der

Patientin verabredet sowie dem Smile-cloud-Vorschlag entsprechend positio-niert. Dieser Vorgang – die Umsetzung des 2-D-Smile-Design-Vorlage in eine 3-D-Konstruktion, erfolgt also nicht au-tomatisiert. Mit einem CAD/CAM-Frässys-tem mit fünf simultan arbeitenden Achsen wurden die Provisorien passgenau gefräst (Abb. 14 und 15).

Die PMMA-Kronen wurden in der Zahnarztpraxis als Langzeitprovisorien für einen Zeitraum von drei Monaten eingesetzt (Abb. 16 bis 18). In dieser Zeit kann das Zahnfleisch verheilen und die Patientin hat Gelegenheit zu prüfen, ob sie mit der neuen Zahnkronenlänge gut zurechtkommt. Nach drei Monaten werden die Provisorien abgenommen, die klinische Situation mithilfe des IOS neu erfasst und auf dieser Basis die vollke-ramischen Restaurationen erstellt. Die Patienun Treut sich jetzt bereits aur das komplett neue Erscheinungsbild, ist aber auch aktuel schon senr zutrieden mit dem Ergebnis und glücklich, sich für die Behandlung entschieden zu haben.

Fazit

Vorab-Visualisierungen gehören in verschiedenen Branchen (zum Beispiel Ein-richtungen, Automobilindustrie) längst zum Alltag und alle sind es gewohnt, mithilfe digitaler Ressourcen vorab das gewünschte Resultat sehen zu können. Aus eigener Erfahrung lässt sich festhalten:

Präsentationen, die das mögliche Ergebnis visualisieren, beeinflussen Entschei-dungen. Sie werden mitgenommen, um sie zum Beispiel im Familienkreis oder mit Freunden zu besprechen und sich gegebenenfalls eine Bestätigung einzu-holen. Ganz ähnlich verhält es sich bei Smilecloud: Die innovative Plattform für Smile Design ist ein hilfreiches Tool für Praxis und Dentallabor, um Patientinnen und Patienten Behandlungsoptionen zu veranschaulichen und ihnen durch die Visualisierung des möglichen Ergebnisses eine Entscheidung zu erleichtern, bevor die eigentliche Behandlung beginnt, Die Einbeziehung der Patienten in den Smile Design-Prozess wirkt sich motivierend auf den gesamten Behandlungspro-zess aus, führt zu höheren Akzeptanzra-ten und trägt zu einer gelungenen Patien-tenkommunikation bei‘.

Zur Simulation und Visualisierung des digitalen Smile Designs nutzt Smile-cloud die Ressourcen der Kl und greift auf eine große Bibliothek mit natürlichen Zahnformen zu, um den Design-Arbeits-ablauf zu optimieren. Als Cloud respektive Sammelbecken für patientenindi-viduelle STL-, Foto- und Röntgendaten unterstützt die Software das Team bei der Arbeit und in der sicheren Kommu-nikation. Vor diesem Hintergrund dient Smilecloud zusätzlich als Marketing-instrument und trägt dazu bei, weitere Aufträge zu generieren. Es werden Arbeitsprozesse vereinfacht, sodass das Labor durch den Einsatz der anwender-freundlichen Software auch Zeit einsparen kann; beispielsweise dann, wenn es nicht mehr nötig ist, ein (analoges) Wax-up im Vorfeld zur Veranschaulichung einzuplanen und zu erstellen. Alle Beteiligten konnen bei bestmoglichem Daten schutz verschiedene Daten hineinlegen und sehen, welche Arbeitsschritte zum Beispiel das Dentallabor gerade gemacht hat. Vorgaben des Arztes an das Labor werden konkretisiert und gewährleisten schnellstmögliche Orientierung.

Das erleichtert eine effiziente und komfortable Zusammenarbeit, bei der keine Information verlorengeht. Insgesamt stärkt Smilecloud eine moderne interdisziplinäre Herangehensweise, bei der alle in einer einheitlichen und sicheren Umgebung kommunizieren und aufgrund der Cloud-Speicherung jederzeit von überall und von jedem Gerät zugegriffen werden kann. Die Technologie ist ein Motivationsbooster im Vorfeld einer Behandlung – für Patienten, Praxis und Dentallabor.

Weitere Beiträge: